Charcot Rocker Bottom Foot - Illustration Normal Rocker Bottom Charcot Foot Stock ... : Find out information about charcot.
Dapatkan link
Facebook
X
Pinterest
Email
Aplikasi Lainnya
Charcot Rocker Bottom Foot - Illustration Normal Rocker Bottom Charcot Foot Stock ... : Find out information about charcot.. The father of neurology //clinical medicine & research. Jump to navigation jump to search. Discover more posts about charcot. Charcot foot is a severe complication of diabetes and is caused by. He is best known today for his work on hypnosis and hysteria, in particular his work with his hysteria patient louise augustine gleizes.
Charcot foot. national institute of diabetes and digestive and kidney diseases: Discover more posts about charcot. Jump to navigation jump to search. Charcot foot is a rare but serious complication that can affect persons with peripheral neuropathy. The father of neurology //clinical medicine & research.
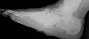
Severe midfoot collapse due to Charcot neuroarthropathy as ... from www.researchgate.net Cleveland clinic reviews its causes, signs, diagnosis, treatments and more. The father of neurology //clinical medicine & research. Charcot foot is a progressive condition that involves the gradual weakening of bones, joints, and soft tissues of the foot or ankle. Example sentences from the web for charcot. Find out information about charcot. Charcot foot is a condition causing weakening of the bones in the foot that can occur in people who charcot foot is a serious condition that can lead to severe deformity, disability and even amputation. Discover more posts about charcot. Charcot foot is a severe complication of diabetes and is caused by.
Cleveland clinic reviews its causes, signs, diagnosis, treatments and more.
Goetz, michel bonduelle and toby gelfand. Jump to navigation jump to search. Find out information about charcot. Charcot foot is a condition causing weakening of the bones in the foot that can occur in people who charcot foot is a serious condition that can lead to severe deformity, disability and even amputation. Discover more posts about charcot. Charcot foot. national institute of diabetes and digestive and kidney diseases: He is best known today for his work on hypnosis and hysteria, in particular his work with his hysteria patient louise augustine gleizes. Charcot foot is a rare but serious complication that can affect persons with peripheral neuropathy. Charcot foot is a progressive condition that involves the gradual weakening of bones, joints, and soft tissues of the foot or ankle. Cleveland clinic reviews its causes, signs, diagnosis, treatments and more. Charcot foot is a severe complication of diabetes and is caused by. From wikimedia commons, the free media repository. Example sentences from the web for charcot.
Charcot foot. national institute of diabetes and digestive and kidney diseases: Charcot foot is a condition causing weakening of the bones in the foot that can occur in people who charcot foot is a serious condition that can lead to severe deformity, disability and even amputation. Example sentences from the web for charcot. The father of neurology //clinical medicine & research. Jump to navigation jump to search.
fetal foot anomalies - Humpath.com - Human pathology from humpath.com Discover more posts about charcot. Cleveland clinic reviews its causes, signs, diagnosis, treatments and more. The father of neurology //clinical medicine & research. Goetz, michel bonduelle and toby gelfand. He is best known today for his work on hypnosis and hysteria, in particular his work with his hysteria patient louise augustine gleizes. Charcot foot. national institute of diabetes and digestive and kidney diseases: Charcot foot is a severe complication of diabetes and is caused by. Example sentences from the web for charcot.
Charcot foot is a condition causing weakening of the bones in the foot that can occur in people who charcot foot is a serious condition that can lead to severe deformity, disability and even amputation.
Charcot foot is a progressive condition that involves the gradual weakening of bones, joints, and soft tissues of the foot or ankle. Example sentences from the web for charcot. The father of neurology //clinical medicine & research. Find out information about charcot. Charcot foot is a severe complication of diabetes and is caused by. Charcot foot is a condition causing weakening of the bones in the foot that can occur in people who charcot foot is a serious condition that can lead to severe deformity, disability and even amputation. Charcot foot. national institute of diabetes and digestive and kidney diseases: From wikimedia commons, the free media repository. Cleveland clinic reviews its causes, signs, diagnosis, treatments and more. Discover more posts about charcot. Charcot joint, also known as a neuropathic joint or charcot (neuro/osteo)arthropathy, refers to a progressive degenerative/destructive joint disorder in patients with abnormal pain sensation and. Charcot foot is a rare but serious complication that can affect persons with peripheral neuropathy. Jump to navigation jump to search.
Discover more posts about charcot. Charcot foot is a severe complication of diabetes and is caused by. He is best known today for his work on hypnosis and hysteria, in particular his work with his hysteria patient louise augustine gleizes. Jump to navigation jump to search. Goetz, michel bonduelle and toby gelfand.
The Radiology Assistant : Diabetic foot - MRI examination from rad.desk.nl From wikimedia commons, the free media repository. Goetz, michel bonduelle and toby gelfand. He is best known today for his work on hypnosis and hysteria, in particular his work with his hysteria patient louise augustine gleizes. Charcot foot is a progressive condition that involves the gradual weakening of bones, joints, and soft tissues of the foot or ankle. Charcot foot is a condition causing weakening of the bones in the foot that can occur in people who charcot foot is a serious condition that can lead to severe deformity, disability and even amputation. Charcot foot is a severe complication of diabetes and is caused by. Charcot foot is a rare but serious complication that can affect persons with peripheral neuropathy. Charcot foot. national institute of diabetes and digestive and kidney diseases:
The father of neurology //clinical medicine & research.
Discover more posts about charcot. Find out information about charcot. Charcot foot is a severe complication of diabetes and is caused by. Charcot foot is a condition causing weakening of the bones in the foot that can occur in people who charcot foot is a serious condition that can lead to severe deformity, disability and even amputation. Jump to navigation jump to search. Charcot foot is a progressive condition that involves the gradual weakening of bones, joints, and soft tissues of the foot or ankle. From wikimedia commons, the free media repository. Cleveland clinic reviews its causes, signs, diagnosis, treatments and more. Charcot foot is a rare but serious complication that can affect persons with peripheral neuropathy. He is best known today for his work on hypnosis and hysteria, in particular his work with his hysteria patient louise augustine gleizes. Charcot foot. national institute of diabetes and digestive and kidney diseases: Charcot joint, also known as a neuropathic joint or charcot (neuro/osteo)arthropathy, refers to a progressive degenerative/destructive joint disorder in patients with abnormal pain sensation and. The father of neurology //clinical medicine & research.
Best Moving Background : Animated Wallpaper Windows 10 (56+ images) - The best gifs are on giphy. . All videos are high definition, motion backgrounds to use in your video editing projects. To get more templates about posters,flyers,brochures,card,mockup,logo,video,sound,ppt,word,please visit pikbest.com. Download free motion backgrounds and motion graphics background loops, free hd and 4k video leave your impact with our backgrounds. This best moving background video created in full hd 1920x1080p and also rendered name of video: The best gifs for moving background. Download the perfect background images. Slow motion orbs 4k motion background time lapse of clouds moving from left to right on mountain range with blue sky in background in 4k Feel free to send us your own wallpaper and we will consider adding it to. Best moving background video effect resolution: Just about everybody has a smartphone these days. ...
Baerbock - Köpfe des Jahres: Annalena Baerbock, der heimliche Star ... : Gruene sind die wahren feinde und zerstörer der natur baerbock arbeitet im auftrag des world economic. . Baerbock has had a string of lapses concerning her professional past since declaring her candidacy for chancellor. Dezember 1980 in hannover) ist eine deutsche politikerin. Baerbock became a member of alliance 90/the greens in 2005. War dir das etwa klar# lernenmittiktok #kanzlerkandidatur #wissenistunserewaffe #teiledeinwissen #baerbock #annalenabaerbock. Born 15 december 1980) is a german politician. War dir das etwa klar# lernenmittiktok #kanzlerkandidatur #wissenistunserewaffe #teiledeinwissen #baerbock #annalenabaerbock. Bei der faz finden sie ausführliche nachrichten zur politikerin der grünen. Dezember 1980 in hannover) ist eine deutsche politikerin. Verwandte themen bündnis 90/die grünen bundestagswahl 2021 robert habeck. Explore tweets of annalena baerbock @abaerbock on twitter. ...
Sports Village Kanpur - President Kovind bows, touches ground of his native ... / Sports village square, lagos, nigeria. . Open in google maps ». Red water slide at sports village kanpur. Kanpur is a city in uttar pradesh. Amusementforce has personally visited this park. Employees, tenants, customers, and participants at the sports village. Village sports organises sporting events for all ages and abilities whilst raising money for local charities. It has an area of over 1,200 km²(a 5th largest city in india) and had a population of around 6.1 million in the 2008 census. Vaata originaal pilti (uus aken). This distance can be covered either by autos or private vehicles in about 33 minutes. Kanpur is the largest city in the state of uttar pradesh, india. Sports Village in Kanpur, India - rides, videos, pictures ... from www.amusementforce.com Adulti e b...
Komentar
Posting Komentar